Home
/
สาระน่ารู้เกี่ยวกับสุขภาพฟัน
/
อุดฟันคืออะไร? ขั้นตอนและเทคโนโลยีการอุดฟันยุคใหม่ | Anytooth
October 30, 2025

อุดฟันคืออะไร? ขั้นตอนและเทคโนโลยีการอุดฟันยุคใหม่ | Anytooth

ความสำคัญของการอุดฟัน

การอุดฟันไม่ได้เป็นเพียงการรักษาฟันผุ แต่คือการ "หยุดยั้ง" ความเสียหายไม่ให้ลุกลาม และ "ฟื้นฟู" โครงสร้างและหน้าที่ของฟันให้กลับมาใช้งานได้ตามปกติ หากปล่อยฟันผุไว้โดยไม่รักษา เชื้อโรคอาจลุกลามลึกถึงโพรงประสาทฟัน ทำให้เกิดอาการปวดรุนแรง นำไปสู่การรักษารากฟัน หรืออาจต้องถอนฟันซี่นั้นทิ้งไปในที่สุด การอุดฟันจึงเป็นวิธีการรักษาที่สำคัญ ง่าย และช่วยเก็บรักษาฟันธรรมชาติของคุณไว้ได้ดีที่สุด

อุดฟันคืออะไร?

การอุดฟัน (Dental Filling) คือกระบวนการทางทันตกรรมที่ทันตแพทย์จะทำการกำจัดเนื้อฟันส่วนที่ผุหรือเสียหายออกไป แล้วจึงเติมวัสดุอุดฟันสังเคราะห์เข้าไปในบริเวณนั้น ซึ่งขั้นตอนการอุดฟันโดยทั่วไปคือการทดแทนเนื้อฟันที่สูญเสียไป ช่วยคืนรูปร่างเดิมของฟัน ป้องกันการผุลุกลาม และทำให้ฟันกลับมาแข็งแรง สามารถบดเคี้ยวอาหารได้ตามปกติ

สาเหตุที่ต้องอุดฟัน

สาเหตุหลักที่ทำให้ต้องอุดฟันคือ "โรคฟันผุ" (Dental Caries) ซึ่งเกิดจากเชื้อแบคทีเรียในช่องปากทำปฏิกริยากับอาหารประเภทแป้งและน้ำตาล ทำให้เกิดกรดที่ค่อยๆ กัดกร่อนผิวฟัน นอกจากนี้ ยังอาจเกิดจากสาเหตุอื่น เช่น ฟันแตก ฟันบิ่น หรือฟันสึก จากอุบัติเหตุหรือการใช้งานที่ผิดปกติ

ประเภทวัสดุอุดฟัน

หนึ่งในคำถามที่พบบ่อยคือ วัสดุอุดฟันมีกี่ประเภท? ซึ่งในปัจจุบันมีหลายประเภท โดยมีคุณสมบัติและ อุดฟัน ราคา ที่แตกต่างกันไป:

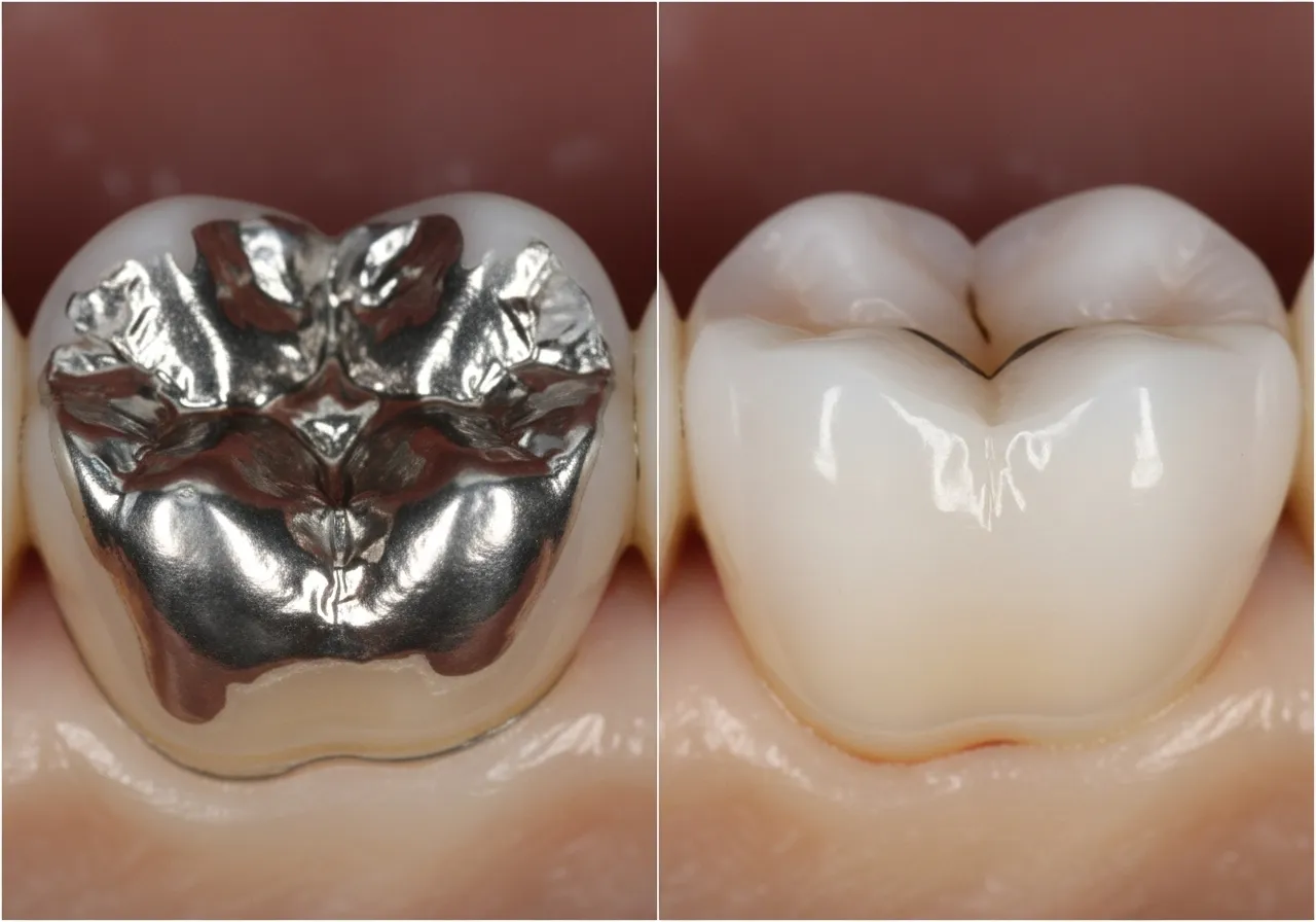
  1. อมัลกัม (Amalgam):
    • เป็นวัสดุสีเงิน (มักเรียกว่า "อุดฟันสีเงิน" หรือ "อุดฟันสีตะกั่ว")
    • ข้อดี: แข็งแรง ทนทาน อุดฟัน ราคาประหยัด
    • ข้อเสีย: สีไม่เหมือนฟันธรรมชาติ, อาจต้องกรอเนื้อฟันมากกว่าปกติ
  2. คอมโพสิต เรซิน (Composite Resin):
    • เป็นวัสดุสีเหมือนฟันธรรมชาติ (มักเรียกว่า "อุดฟันสีขาว")
    • ข้อดี: สวยงาม, ยึดติดกับเนื้อฟันได้ดี, กรอเนื้อฟันออกน้อย
    • ข้อเสีย: อาจมีราคาสูงกว่าอมัลกัม, อาจติดสีจากอาหาร/เครื่องดื่มได้เมื่อเวลาผ่านไป
  3. กลาสไอโอโนเมอร์ (Glass Ionomer):
    • วัสดุสีคล้ายฟัน สามารถปล่อยฟลูออไรด์ช่วยป้องกันฟันผุได้
    • ข้อดี: เหมาะสำหรับอุดฟันในเด็ก หรือบริเวณคอฟันที่สึก
    • ข้อเสีย: ความแข็งแรงไม่เท่าวัสดุชนิดอื่น
  4. พอร์ซเลน หรือ เซรามิก (Porcelain/Ceramic):
    • มักใช้ในรูปแบบ Inlays หรือ Onlays (หลายคนอาจสงสัยว่า Inlay Onlay คืออะไร? คำตอบคือ เป็นวัสดุอุดฟันที่ผลิตขึ้นนอกช่องปาก) การอุดฟันเซรามิกประเภทนี้มีความสวยงามสูง
    • ข้อดี: สวยงาม ทนทาน ไม่ติดคราบสี
    • ข้อเสีย: ราคาสูง, มักต้องใช้เทคโนโลยีขั้นสูงในการผลิต (เช่น CAD-CAM)

เทคโนโลยีการอุดฟัน

ขั้นตอนการอุดฟัน (แบบใหม่/เทคโนโลยี CAD-CAM)

ในยุคใหม่ เทคโนโลยี CAD-CAM ทันตกรรม ได้เข้ามามีบทบาทในการอุดฟัน โดยเฉพาะการอุดฟันแบบ Inlays/Onlays (การอุดฟันชิ้นใหญ่ที่ทดแทนปุ่มฟัน) ด้วยระบบ CAD-CAM (Computer-Aided Design/Computer-Aided Manufacturing) ซึ่งมีขั้นตอนที่แม่นยำและรวดเร็ว ดังนี้:

  1. การตรวจวินิจฉัย: ทันตแพทย์ตรวจช่องปากและอาจถ่ายภาพเอกซเรย์เพื่อประเมินความลึกและความกว้างของรอยผุ
  2. การเตรียมฟัน: ทันตแพทย์จะฉีดยาชา (หากจำเป็น) เพื่อลดข้อกังวลว่า อุดฟันเจ็บไหม และใช้เครื่องมือกรอเนื้อฟันส่วนที่ผุออก
  3. การสแกนฟัน (CAD):
    • แบบดั้งเดิม: ต้องพิมพ์ปากด้วยวัสดุพิมพ์ปาก แล้วส่งแล็บทันตกรรมซึ่งใช้เวลาหลายวัน
    • แบบใหม่ (CAD-CAM): ทันตแพทย์จะใช้เครื่องสแกน 3 มิติ (Intraoral Scanner) ขนาดเล็ก สแกนในช่องปากของผู้ป่วย เพื่อสร้างแบบจำลองฟันแบบดิจิทัล
  4. การออกแบบ (CAD): ทันตแพทย์จะใช้ซอฟต์แวร์คอมพิวเตอร์ในการออกแบบชิ้นงานอุดฟัน (Inlay/Onlay) ให้มีรูปร่าง ขนาด และการสบฟันที่พอดีกับฟันซี่นั้นๆ
  5. การผลิตชิ้นงาน (CAM):
    • ไฟล์ดิจิทัลที่ออกแบบเสร็จแล้วจะถูกส่งไปยังเครื่องกัด (Milling Machine) ที่อยู่ในคลินิก
    • เครื่องจะทำการกัดวัสดุ (เช่น Ceramic Block) ออกมาเป็นชิ้นงานอุดฟันตามที่ออกแบบไว้ โดยใช้เวลาเพียง 15-30 นาที
  6. การยึดชิ้นงาน: ทันตแพทย์จะนำชิ้นงานเซรามิก (หรือ อุดฟันเซรามิก) ที่ได้มาลองในปากผู้ป่วย หากพอดี จะทำการยึดติดกับตัวฟันอย่างถาวรด้วยซีเมนต์ทางทันตกรรม และฉายแสงเพื่อให้วัสดุยึดติดแข็งตัว
  7. การตรวจสอบและขัดแต่ง: ตรวจสอบการสบฟันและขัดชิ้นงานให้เรียบร้อย

ข้อดีของ CAD-CAM: สะดวก รวดเร็ว (มักเสร็จภายใน 1-2 ชั่วโมง หรือภายในวันเดียว) แม่นยำสูง และได้วัสดุอุดฟัน (เซรามิก) ที่สวยงามทนทาน

การดูแลหลังอุดฟัน

FAQ คำถามที่พบบ่อย

อุดฟันเจ็บไหม?โดยทั่วไปไม่เจ็บ หรือเจ็บน้อยมาก เพราะหากรอยผุลึก ทันตแพทย์จะใช้ยาชาเฉพาะที่ก่อนทำการรักษา (ดังที่กล่าวในขั้นตอนการอุดฟัน) อาจรู้สึกตึงๆ หรือเสียวฟันบ้างหลังยาชาหมดฤทธิ์

อุดฟันใช้เวลานานไหม?ขึ้นอยู่กับขนาดและความซับซ้อน

อุดฟันแบบไหนดี?ขึ้นอยู่กับตำแหน่งของฟัน ขนาดรอยผุ และความต้องการของผู้ป่วย

อุดฟันอยู่ได้กี่ปี?ขึ้นอยู่กับวัสดุอุดฟันที่ใช้และการดูแลรักษา

หลังอุดฟันควรดูแลตัวเองอย่างไร?ดูแลเหมือนฟันปกติ คือแปรงฟันให้สะอาด ใช้ไหมขัดฟัน และพบทันตแพทย์เพื่อตรวจสุขภาพฟันทุก 6 เดือน หากอุดฟันแบบอมัลกัม ให้เลี่ยงการเคี้ยวของแข็ง 24 ชั่วโมงแรก

อุดฟันแล้วกินอาหารได้ทันทีหรือไม่?

วัสดุอุดฟันมีกี่ประเภทและต่างกันอย่างไร?หลักๆ มี 4 ประเภทตามที่กล่าวไปในหัวข้อ "ประเภทวัสดุอุดฟัน" (อมัลกัม, คอมโพสิต, กลาสไอโอโนเมอร์, เซรามิก) ซึ่งต่างกันที่ สี (สวยงาม), ความแข็งแรง (ทนต่อแรงบดเคี้ยว), และ อุดฟัน ราคา

แหล่งอ้างอิง

📖 บทความที่เกี่ยวข้อง (Related Articles)

บทความนี้ตรวจสอบโดย

หมอมีมี่ Anytooth
ทพญ. ศิริกาญจน์ ทองมีอาคม (หมอมีมี่)
Dr. Sirikarn Thongmeearkom
Esthetic & Implant Dentist
Invisalign Dentist
ทันตแพทยศาสตรบัณฑิต จุฬาลงกรณ์มหาวิทยาลัย (เกียรตินิยมอันดับ 2)
วิทยาศาสตรมหาบัณฑิต สาขาวิชาทันตกรรมบูรณะเพื่อความสวยงามและทันตกรรมรากเทียม จุฬาลงกรณ์มหาวิทยาลัย
Doctor of Dental Surgery (D.D.S.), Chulalongkorn University, Thailand (2nd class honors)
Master of Science (M.Sc.) in Esthetic Restorative and Implant Dentistry, Chulalongkorn University, Thailand
Preceptorship Program in Advance Implantology, UCLA School of Dentistry, USA
Certificate in Invisalign Accreditation

นัดหมายทันตแพทย์ Anytooth
ให้คำปรึกษาฟรี!

นัดหมายทำฟัน
หมอบิว Anytooth

ทพ.รัชชย ชยางศุ (หมอบิว)

Dr. Ratchaya Chayangsu
Esthetic & Implant Dentist