จัดฟันใส กระทบชีวิตแค่ไหน? ปรับตัวยังไงให้สะดวก
April 29, 2025

เหงือกร่น เป็นภาวะที่หลายคนอาจไม่ทันสังเกตเห็นในระยะแรก แต่เป็นปัญหาสำคัญที่ส่งผลกระทบต่อสุขภาพช่องปากโดยรวมได้อย่างมาก เมื่อเหงือกร่นลงมาจนเห็นรากฟัน ทำให้เกิดอาการเสียวฟันและเพิ่มความเสี่ยงต่อปัญหาฟันผุตามมา การทำความเข้าใจสาเหตุและสัญญาณเตือนจึงเป็นก้าวแรกที่สำคัญในการดูแลสุขภาพเหงือกและฟันของเรา
บทความนี้จะพาคุณไปทำความรู้จักกับภาวะเหงือกร่นอย่างละเอียด ตั้งแต่ความหมาย สาเหตุที่พบบ่อย สัญญาณเตือนที่ต้องสังเกต รวมถึงวิธีการรักษาที่หลากหลาย และแนวทางการดูแลป้องกัน เพื่อให้คุณสามารถรับมือกับปัญหานี้ได้อย่างมีประสิทธิภาพ และมีสุขภาพช่องปากที่ดีไปนานๆ
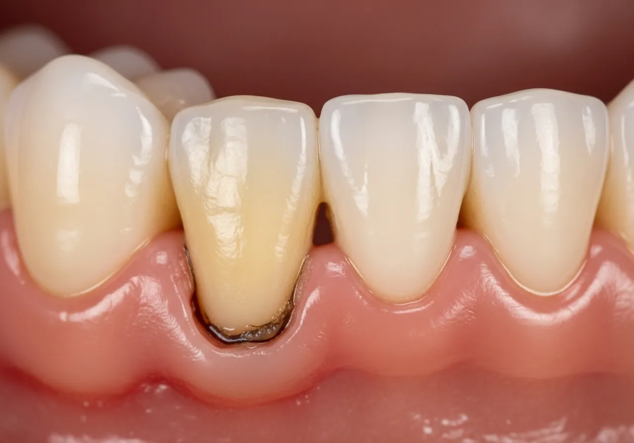
ภาวะเหงือกร่น (gingival recession) คือการที่เนื้อเยื่อเหงือกที่เคยคลุมบริเวณรากฟันเกิดการถดถอยหรือร่นลงไป ทำให้ส่วนของรากฟันที่ควรจะถูกปกคลุมอยู่ใต้เหงือกและกระดูกขากรรไกรเผยออกมา สิ่งนี้ไม่เพียงแต่ทำให้ฟันดูยาวขึ้นกว่าปกติ แต่ยังนำมาซึ่งปัญหาอื่นๆ ที่เกี่ยวข้องกับสุขภาพช่องปากอีกมากมาย ไม่ว่าจะเป็นอาการเสียวฟันที่เกิดจากการที่รากฟันสัมผัสกับสิ่งกระตุ้นโดยตรง หรือเพิ่มความเสี่ยงในการเกิดฟันผุบริเวณรากฟันที่ไม่มีเคลือบฟันปกป้อง
หลายครั้งที่ผู้คนอาจมองข้ามสัญญาณเริ่มต้นของการร่นของเหงือก เพราะมันมักจะเกิดขึ้นอย่างช้าๆ และค่อยเป็นค่อยไปจนไม่ทันสังเกตเห็น แต่เมื่อใดที่เหงือกเริ่มร่นลงอย่างชัดเจนแล้ว นั่นหมายความว่าปัญหาได้ลุกลามไปในระดับหนึ่ง ซึ่งจำเป็นต้องได้รับการดูแลและรักษาจากทันตแพทย์อย่างทันท่วงที
ความหมายของเหงือกร่นนั้นเข้าใจได้ง่ายๆ คือการที่ขอบเหงือกเคลื่อนตัวลงจากตำแหน่งปกติที่เคยหุ้มฟันไว้ โดยสาเหตุที่ทำให้เกิดปัญหานี้มีหลายปัจจัย ทั้งที่เกี่ยวกับพฤติกรรมการดูแลช่องปาก และปัจจัยทางด้านสุขภาพโดยรวม สาเหตุที่พบบ่อยที่สุดประการหนึ่งคือการแปรงฟันที่รุนแรงเกินไป หรือการใช้แปรงสีฟันที่มีขนแข็งจนทำร้ายเหงือกและเคลือบฟัน นอกจากนี้ โรคเหงือกอักเสบและปริทันต์อักเสบ ซึ่งเป็นการติดเชื้อแบคทีเรียในช่องปากที่ทำลายเนื้อเยื่อเหงือกและกระดูกรอบๆ ฟัน ก็เป็นตัวการสำคัญที่ทำให้เหงือกร่นได้เช่นกัน
อีกสาเหตุที่พบบ่อยคือการมีหินปูนสะสมจำนวนมากใต้เหงือก ซึ่งทำให้เหงือกอักเสบและร่นลงได้ง่าย หรือแม้แต่การเรียงตัวของฟันที่ไม่เป็นระเบียบ ฟันที่ยื่นหรือเอียงออกมาจากแนวฟันปกติ อาจทำให้เหงือกบริเวณนั้นบอบบางและไวต่อการร่นลงมากกว่าฟันซี่อื่นๆ
การเปลี่ยนแปลงของเหงือกที่บ่งบอกถึงภาวะเหงือกร่นนั้นมีหลายอย่างที่สามารถสังเกตได้ด้วยตนเอง เริ่มจากการที่ขอบเหงือกดูเหมือนจะเลื่อนต่ำลงเรื่อยๆ จนมองเห็นส่วนของรากฟันที่อยู่ใต้เหงือกชัดเจนขึ้น บางคนอาจรู้สึกว่าฟันดูยาวขึ้นกว่าเมื่อก่อน หรือช่องว่างระหว่างซี่ฟันดูใหญ่ขึ้น สิ่งเหล่านี้เป็นสัญญาณเตือนที่ชัดเจนว่าเหงือกของคุณกำลังประสบปัญหาอยู่
นอกจากนี้ อาจมีอาการอื่นๆ ร่วมด้วย เช่น เหงือกมีสีแดง บวม หรือมีเลือดออกง่ายขณะแปรงฟัน ซึ่งเป็นสัญญาณของโรคเหงือกอักเสบที่อาจนำไปสู่ภาวะเหงือกร่นได้ หากคุณสังเกตเห็นการเปลี่ยนแปลงเหล่านี้ ไม่ควรนิ่งนอนใจและควรรีบปรึกษาทันตแพทย์เพื่อตรวจวินิจฉัยและรับการรักษาอย่างเหมาะสม ก่อนที่ปัญหาจะลุกลามและแก้ไขได้ยากยิ่งขึ้น
การทำความเข้าใจถึงสาเหตุหลักของภาวะเหงือกร่นเป็นสิ่งจำเป็นอย่างยิ่ง เพราะการทราบต้นตอของปัญหาจะช่วยให้เราสามารถป้องกันและดูแลช่องปากได้อย่างถูกจุด สาเหตุของการร่นของเหงือกนั้นแบ่งออกได้เป็นสองกลุ่มใหญ่ๆ คือปัจจัยภายนอกที่เราสามารถควบคุมหรือปรับเปลี่ยนพฤติกรรมได้ และปัจจัยภายในที่เกี่ยวข้องกับสุขภาพช่องปากโดยตรง
การร่นของเหงือกไม่ได้เกิดขึ้นจากสาเหตุใดสาเหตุหนึ่งเพียงอย่างเดียว แต่บ่อยครั้งเกิดจากการผสมผสานกันของหลายปัจจัย ดังนั้นการดูแลช่องปากอย่างครอบคลุมและสม่ำเสมอจึงเป็นหัวใจสำคัญในการป้องกันปัญหานี้
ปัจจัยภายนอกหลายอย่างสามารถกระตุ้นให้เกิดภาวะเหงือกร่นได้โดยไม่รู้ตัว หนึ่งในนั้นคือพฤติกรรมการแปรงฟันที่ผิดวิธี การแปรงฟันที่แรงเกินไป หรือการใช้แปรงสีฟันที่มีขนแปรงแข็งมาก อาจทำให้เนื้อเยื่อเหงือกบริเวณคอฟันเกิดการสึกหรอและร่นลงไปตามกาลเวลา ลองนึกภาพการขัดถูวัสดุที่อ่อนนุ่มด้วยแรงกดที่มากเกินไปย่อมทำให้เกิดความเสียหายได้ เหงือกของเราก็เช่นกัน
นอกจากนี้ การใช้ไหมขัดฟันหรือแปรงซอกฟันอย่างผิดวิธีก็อาจสร้างความเสียหายให้กับเหงือกได้เช่นกัน การสูบบุหรี่ก็เป็นอีกหนึ่งปัจจัยเสี่ยงที่สำคัญ เพราะสารนิโคตินและสารเคมีอื่นๆ ในบุหรี่จะลดการไหลเวียนของเลือดในเหงือก ทำให้เหงือกอ่อนแอและติดเชื้อได้ง่าย ซึ่งส่งผลให้เหงือกร่นได้เร็วขึ้น รวมถึงการเจาะอวัยวะในช่องปาก เช่น ลิ้นหรือริมฝีปาก การเสียดสีของเครื่องประดับอาจทำให้เหงือกบริเวณนั้นเกิดการร่นลงมาได้เช่นกัน
นอกจากปัจจัยภายนอกแล้ว สุขภาพภายในช่องปากเองก็มีบทบาทสำคัญต่อการเกิดภาวะเหงือกร่นไม่แพ้กัน สาเหตุหลักคือโรคเหงือกอักเสบและโรคปริทันต์อักเสบ ซึ่งเกิดจากการสะสมของคราบจุลินทรีย์และหินปูน เมื่อไม่ได้รับการทำความสะอาดอย่างทั่วถึง แบคทีเรียเหล่านี้จะก่อให้เกิดการอักเสบ ทำลายเนื้อเยื่อเหงือกและกระดูกที่รองรับฟัน จนนำไปสู่การร่นของเหงือก
การเรียงตัวของฟันที่ไม่เป็นระเบียบ ฟันเก หรือฟันที่ยื่นออกมามากๆ ก็เป็นอีกหนึ่งปัจจัย เพราะฟันที่อยู่ในตำแหน่งที่ผิดปกติอาจทำให้เหงือกบริเวณนั้นได้รับแรงกดหรือเสียดสีมากกว่าปกติ ทำให้เหงือกร่นง่ายขึ้น นอกจากนี้ พันธุกรรมก็มีส่วนเกี่ยวข้องเช่นกัน หากคนในครอบครัวมีประวัติเหงือกร่น คุณก็อาจมีความเสี่ยงมากกว่าคนทั่วไป รวมถึงภาวะฮอร์โมนเปลี่ยนแปลงในสตรี เช่น ช่วงตั้งครรภ์ หรือวัยหมดประจำเดือน ก็อาจทำให้เหงือกมีความอ่อนไหวและเสี่ยงต่อการร่นมากขึ้นได้

การรู้จักและสังเกตสัญญาณเตือนของเหงือกร่นเป็นสิ่งสำคัญที่จะช่วยให้เราสามารถรับมือกับปัญหาได้ตั้งแต่เนิ่นๆ ก่อนที่มันจะลุกลามจนยากที่จะแก้ไข แม้ว่าภาวะนี้มักจะดำเนินไปอย่างช้าๆ จนบางครั้งผู้ป่วยไม่ทันสังเกต แต่หากใส่ใจรายละเอียดเล็กๆ น้อยๆ ในช่องปาก ก็จะพบความผิดปกติได้
สัญญาณเหล่านี้ไม่เพียงแต่บ่งชี้ถึงการร่นของเหงือกเท่านั้น แต่ยังอาจเป็นสัญญาณเตือนของปัญหาสุขภาพช่องปากอื่นๆ ที่กำลังซ่อนอยู่ ดังนั้นหากพบอาการที่น่าสงสัย ควรรีบไปปรึกษาทันตแพทย์เพื่อตรวจวินิจฉัยทันที
มีหลายอาการที่บ่งชี้ว่าคุณอาจกำลังประสบปัญหาเหงือกร่นและควรได้รับการตรวจจากทันตแพทย์ ประการแรกคือการที่ฟันดูยาวขึ้นอย่างเห็นได้ชัดเมื่อเทียบกับฟันซี่อื่นๆ หรือกับภาพถ่ายเก่าๆ ของตัวคุณเอง นั่นเป็นเพราะเหงือกได้ร่นลงไปจนเผยให้เห็นส่วนของรากฟัน นอกจากนี้ อาการเสียวฟันเป็นประจำ โดยเฉพาะเมื่อรับประทานอาหารร้อน เย็น หวาน หรือเปรี้ยว ก็เป็นสัญญาณที่พบได้บ่อย เนื่องจากรากฟันที่เผยออกมาไม่มีเคลือบฟันปกคลุม ทำให้ท่อเนื้อฟันสัมผัสกับสิ่งกระตุ้นได้โดยตรง
อีกอาการหนึ่งที่สังเกตได้คือการเปลี่ยนแปลงของสีเหงือก หากเหงือกมีสีแดงจัด บวม หรือมีเลือดออกง่ายขณะแปรงฟันหรือใช้ไหมขัดฟัน อาจเป็นสัญญาณของโรคเหงือกอักเสบที่นำไปสู่การร่นของเหงือกได้ นอกจากนี้ การมีกลิ่นปากเรื้อรัง หรือการที่ฟันดูเหมือนจะโยกเล็กน้อย ก็เป็นสัญญาณที่ไม่ควรมองข้ามเช่นกัน
ภาวะเหงือกร่นไม่เพียงแต่ทำให้เกิดความรู้สึกไม่สบายและส่งผลต่อความมั่นใจ แต่ยังก่อให้เกิดผลกระทบระยะยาวต่อสุขภาพฟันและช่องปากโดยรวมอีกด้วย ผลกระทบที่ชัดเจนที่สุดคือการเพิ่มความเสี่ยงต่อการเกิดฟันผุบริเวณรากฟัน เนื่องจากรากฟันไม่มีเคลือบฟันที่แข็งแรงเหมือนส่วนของตัวฟัน ทำให้ผุได้ง่ายกว่าเมื่อสัมผัสกับกรดจากอาหารและแบคทีเรียในช่องปาก
เมื่อรากฟันเผยออกมา นอกจากจะเสียวฟันแล้ว ยังทำให้การสะสมของคราบจุลินทรีย์และหินปูนทำได้ง่ายขึ้นบริเวณซอกเหงือก ทำให้เกิดการอักเสบของเหงือกซ้ำๆ เป็นวงจร และอาจนำไปสู่การสูญเสียกระดูกที่รองรับฟัน ฟันโยก และสุดท้ายอาจถึงขั้นสูญเสียฟันซี่นั้นไปในที่สุด หากปล่อยทิ้งไว้โดยไม่ได้รับการรักษา การร่นของเหงือกที่ลุกลามอย่างรุนแรงอาจทำให้จำเป็นต้องได้รับการรักษาที่ซับซ้อนและมีค่าใช้จ่ายสูงกว่าเดิม
เมื่อตรวจพบว่ามีภาวะเหงือกร่นแล้ว สิ่งสำคัญคือต้องรีบเข้ารับการรักษาจากทันตแพทย์ เพื่อหยุดยั้งการร่นของเหงือกและฟื้นฟูสุขภาพช่องปากให้กลับมาเป็นปกติอีกครั้ง วิธีการรักษานั้นมีหลากหลาย ขึ้นอยู่กับระดับความรุนแรงของภาวะเหงือกร่นและสาเหตุที่ทำให้เกิด
ทันตแพทย์จะทำการตรวจวินิจฉัยอย่างละเอียด เพื่อวางแผนการรักษาที่เหมาะสมที่สุดสำหรับแต่ละบุคคล โดยอาจเริ่มต้นจากการรักษาแบบไม่ต้องผ่าตัด ไปจนถึงการใช้เทคนิคการผ่าตัดที่ซับซ้อนขึ้นหากจำเป็น
สำหรับการรักษาเหงือกร่นในระยะเริ่มต้นหรือกรณีที่ไม่รุนแรงมากนัก ทันตแพทย์มักจะแนะนำวิธีการรักษาแบบไม่ต้องผ่าตัดเป็นอันดับแรก ซึ่งมุ่งเน้นไปที่การควบคุมสาเหตุหลักของการร่นของเหงือก การรักษาที่สำคัญที่สุดคือการขูดหินปูนและเกลารากฟันอย่างละเอียด โดยทันตแพทย์จะกำจัดคราบจุลินทรีย์และหินปูนที่สะสมอยู่ทั้งเหนือและใต้เหงือก รวมถึงเกลารากฟันให้เรียบ เพื่อลดแหล่งที่อยู่ของแบคทีเรียและช่วยให้เหงือกกลับมายึดติดกับฟันได้ดีขึ้น
นอกจากนี้ ทันตแพทย์อาจให้คำแนะนำเกี่ยวกับการปรับเปลี่ยนพฤติกรรมการดูแลช่องปาก เช่น การแปรงฟันที่ถูกวิธี การเลือกใช้แปรงสีฟันที่เหมาะสม และการใช้ยาสีฟันที่มีส่วนผสมของฟลูออไรด์หรือสารที่ช่วยลดอาการเสียวฟัน รวมถึงการใช้ไหมขัดฟันและน้ำยาบ้วนปากที่ถูกต้อง เพื่อช่วยลดการอักเสบและส่งเสริมสุขภาพเหงือกที่ดี หากมีฟันเกหรือการสบฟันที่ผิดปกติ อาจมีการปรึกษาเรื่องการจัดฟันเพื่อแก้ไขปัญหาด้วย
ในกรณีที่ภาวะเหงือกร่นรุนแรง หรือการรักษาแบบไม่ต้องผ่าตัดไม่ได้ผลตามที่คาดหวัง ทันตแพทย์อาจพิจารณาใช้วิธีการผ่าตัดเพื่อฟื้นฟูเนื้อเยื่อเหงือกที่ร่นไป เทคนิคการผ่าตัดที่พบบ่อยคือการปลูกเหงือก (gum grafting) ซึ่งมีหลายวิธี เช่น การปลูกเหงือกด้วยเนื้อเยื่อเกี่ยวพัน (connective tissue graft) โดยทันตแพทย์จะนำเนื้อเยื่อเหงือกส่วนน้อยๆ มาจากบริเวณเพดานปาก หรือจากบริเวณอื่นๆ ของเหงือกผู้ป่วยเอง แล้วนำไปปลูกปิดบริเวณรากฟันที่ร่น
อีกวิธีหนึ่งคือการปลูกเหงือกด้วยเนื้อเยื่ออิสระ (free gingival graft) หรือการใช้เทคนิคการปลูกเหงือกแบบเคลื่อนย้าย (pedicle graft) ซึ่งเป็นการขยับเนื้อเยื่อเหงือกจากบริเวณใกล้เคียงมาปิดส่วนที่ร่น นอกจากนี้ยังมีเทคนิคที่เรียกว่า Regenerative Procedures ซึ่งใช้เพื่อกระตุ้นให้ร่างกายสร้างกระดูกและเนื้อเยื่อใหม่บริเวณที่เสียหาย การผ่าตัดเหล่านี้มีจุดประสงค์เพื่อคลุมรากฟันที่เผยออกมา ลดอาการเสียวฟัน และป้องกันการร่นของเหงือกไม่ให้ลุกลามไปมากกว่าเดิม หลังจากการผ่าตัด ผู้ป่วยจะต้องดูแลช่องปากตามคำแนะนำของทันตแพทย์อย่างเคร่งครัด เพื่อให้การฟื้นฟูเป็นไปอย่างราบรื่นและได้ผลลัพธ์ที่ดีที่สุด
การป้องกันย่อมดีกว่าการรักษาเสมอ โดยเฉพาะกับภาวะเหงือกร่นที่เมื่อเกิดขึ้นแล้ว การฟื้นฟูให้กลับมาเป็นปกติ 100% อาจทำได้ยาก การดูแลสุขภาพช่องปากอย่างถูกวิธีและสม่ำเสมอจึงเป็นหัวใจสำคัญในการป้องกันไม่ให้เหงือกร่นตั้งแต่แรกเริ่ม หรือช่วยชะลอการลุกลามหากเริ่มมีอาการแล้ว
การปรับเปลี่ยนพฤติกรรมการดูแลช่องปากในชีวิตประจำวัน ถือเป็นการลงทุนที่คุ้มค่าที่สุดเพื่อสุขภาพเหงือกและฟันที่แข็งแรงไปตลอดชีวิต
การแปรงฟันที่ถูกต้องเป็นรากฐานสำคัญในการป้องกันเหงือกร่น ควรเลือกใช้แปรงสีฟันที่มีขนแปรงอ่อนนุ่ม และแปรงฟันอย่างเบามือ ไม่ควรถูหรือขัดแรงๆ เพราะอาจทำร้ายเหงือกได้ ควรแปรงฟันให้ทั่วถึงทุกซี่ ทุกพื้นผิว โดยเน้นบริเวณคอฟันและขอบเหงือก และใช้เวลาในการแปรงฟันอย่างน้อย 2 นาที วันละ 2 ครั้ง การแปรงฟันที่ผิดวิธีเป็นสาเหตุสำคัญที่ทำให้เหงือกร่นลงมาได้ ดังนั้นการปรึกษาทันตแพทย์เพื่อเรียนรู้วิธีแปรงฟันที่ถูกต้องจึงเป็นสิ่งที่ดี
นอกจากนี้ การใช้ไหมขัดฟันก็มีความสำคัญไม่แพ้กัน ควรใช้ไหมขัดฟันอย่างน้อยวันละ 1 ครั้ง ก่อนแปรงฟัน เพื่อกำจัดคราบจุลินทรีย์และเศษอาหารที่แปรงสีฟันเข้าไม่ถึง โดยเฉพาะบริเวณซอกฟันและใต้ขอบเหงือก ใช้ไหมขัดฟันอย่างเบามือ ค่อยๆ เลื่อนไหมไปตามโค้งของฟัน อย่ากดไหมขัดฟันลงไปที่เหงือกแรงๆ เพราะอาจทำให้เหงือกบาดเจ็บได้ การดูแลอย่างสม่ำเสมอจะช่วยลดการสะสมของคราบจุลินทรีย์ ซึ่งเป็นสาเหตุหลักของโรคเหงือกและเหงือกร่น
การเลือกใช้ผลิตภัณฑ์ดูแลช่องปากที่เหมาะสมก็เป็นส่วนหนึ่งของการป้องกันเหงือกร่น ควรเลือกยาสีฟันที่มีส่วนผสมของฟลูออไรด์เพื่อช่วยเสริมสร้างความแข็งแรงของเคลือบฟัน และหากมีอาการเสียวฟันร่วมด้วย อาจพิจารณาใช้ยาสีฟันที่ออกแบบมาเพื่อลดอาการเสียวฟันโดยเฉพาะ ซึ่งมักมีสารที่ช่วยปิดท่อเนื้อฟันที่เปิดออก ควรหลีกเลี่ยงยาสีฟันที่มีฤทธิ์กัดกร่อนสูง หรือมีส่วนผสมที่อาจระคายเคืองต่อเหงือก
สำหรับน้ำยาบ้วนปาก ควรเลือกชนิดที่ไม่มีส่วนผสมของแอลกอฮอล์ เพื่อไม่ให้เหงือกแห้งหรือระคายเคือง และควรเลือกน้ำยาบ้วนปากที่มีส่วนผสมที่ช่วยลดแบคทีเรียและลดการอักเสบของเหงือก เช่น สารสกัดจากธรรมชาติ หรือสารฆ่าเชื้อโรคอ่อนๆ การใช้เครื่องมือทำความสะอาดซอกฟัน เช่น แปรงซอกฟัน หรือไหมขัดฟันชนิดพิเศษ ก็เป็นสิ่งสำคัญเพื่อทำความสะอาดในส่วนที่แปรงสีฟันเข้าไม่ถึง ผลิตภัณฑ์ที่เลือกควรได้รับการรับรองจากทันตแพทย์ หรือองค์กรด้านทันตกรรม เพื่อความปลอดภัยและประสิทธิภาพสูงสุด
ในปัจจุบันยังคงมีความเข้าใจผิดบางประการเกี่ยวกับภาวะเหงือกร่น ซึ่งอาจนำไปสู่การดูแลรักษาที่ไม่ถูกต้อง หรือทำให้ปัญหาลุกลามได้ หนึ่งในความเชื่อที่พบบ่อยคือการคิดว่าเหงือกร่นเป็นเรื่องปกติที่เกิดขึ้นตามวัย และไม่จำเป็นต้องรักษา ซึ่งเป็นสิ่งที่ไม่ถูกต้อง เหงือกร่นไม่ใช่อาการที่เกิดขึ้นตามธรรมชาติอย่างหลีกเลี่ยงไม่ได้ แต่เป็นสัญญาณของปัญหาในช่องปากที่ควรได้รับการแก้ไข
การแก้ไขความเข้าใจผิดเหล่านี้จะช่วยให้ผู้คนหันมาใส่ใจสุขภาพเหงือกของตนเองมากขึ้น และรับการรักษาอย่างถูกต้องและทันท่วงที
ความเชื่อที่ว่าการแปรงฟันแรงๆ หรือใช้แปรงสีฟันขนแข็งจะช่วยทำความสะอาดฟันได้ดีกว่า เป็นความเข้าใจผิดที่นำไปสู่ภาวะเหงือกร่นได้มากที่สุด หลายคนคิดว่ายิ่งแปรงแรง ฟันก็จะยิ่งสะอาดและปราศจากคราบ แต่ในความเป็นจริงแล้ว การแปรงฟันที่รุนแรงเกินไปกลับเป็นการทำลายเหงือกและเคลือบฟัน ทำให้เหงือกร่นและฟันสึกได้
การแปรงฟันที่ถูกต้องคือการใช้แปรงสีฟันขนอ่อนนุ่ม ค่อยๆ แปรงอย่างเบามือและทั่วถึง เน้นการนวดเหงือกเบาๆ และทำความสะอาดตามแนวฟัน การแปรงฟันที่ผิดวิธีไม่เพียงแต่ทำให้เหงือกร่นเท่านั้น แต่ยังอาจทำให้เกิดการบาดเจ็บอื่นๆ ในช่องปาก เช่น เหงือกอักเสบ หรือรอยโรคที่เหงือกได้ ดังนั้นการปรับเปลี่ยนพฤติกรรมการแปรงฟันให้ถูกต้องจึงเป็นสิ่งสำคัญลำดับต้นๆ ในการป้องกันและจัดการกับภาวะเหงือกร่น
หลายคนมักมีข้อสงสัยเกี่ยวกับภาวะเหงือกร่น และนี่คือคำตอบสำหรับคำถามที่พบบ่อย เพื่อให้คุณเข้าใจปัญหานี้ได้ดียิ่งขึ้น
การเหงือกร่นไม่ใช่เรื่องที่ควรมองข้าม เพราะมันส่งผลกระทบมากกว่าแค่ความสวยงาม หากคุณสังเกตเห็นสัญญาณเตือนใดๆ หรือมีข้อสงสัยเกี่ยวกับสุขภาพเหงือกและฟันของตนเอง อย่าลังเลที่จะปรึกษาทันตแพทย์ผู้เชี่ยวชาญ เพื่อรับการตรวจวินิจฉัยและวางแผนการรักษาที่เหมาะสมที่สุด เพราะสุขภาพช่องปากที่ดี คือจุดเริ่มต้นของสุขภาพร่างกายที่ดีโดยรวม
หากคุณกำลังมองหาผู้เชี่ยวชาญด้านการดูแลสุขภาพช่องปาก หรือต้องการคำแนะนำเพิ่มเติมเกี่ยวกับการป้องกันและรักษาภาวะเหงือกร่น สามารถติดต่อคลินิกทันตกรรมใกล้บ้านคุณ เพื่อรับคำปรึกษาจากทันตแพทย์ที่มีประสบการณ์ได้เลย
แหล่งอ้างอิง


April 29, 2025

April 29, 2025

April 29, 2025

April 29, 2025

April 29, 2025